| Patient age | 33 |
| Patient sex | Female |
| Tooth | 26 |
| Chief complaint | My tooth is becoming unbearable! I can’t drink cold drinks without getting shocks and a lingering ache |
| Medical history | Nothing of note |
| Dental history | Patient has had previous composite resin restorative work over 4 years ago |
| Clinical evaluation | Tooth that is tender to percussion & palpation. Elevated and heightened response to thermal stimuli |

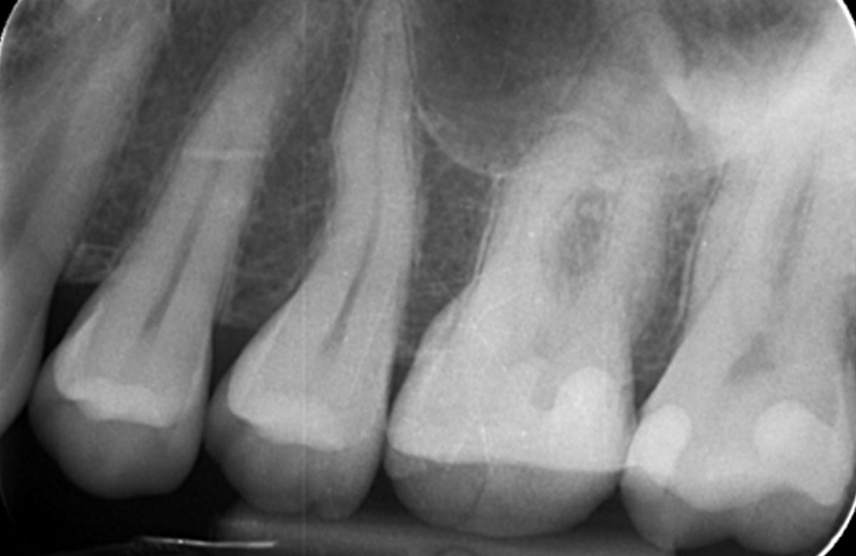
Pre operative periapical radiograph of the tooth 16
| Diagnosis | Irreversible pulpitis and acute paical periodontitis |
| Treatment planned | Orthograde root canal treatment and permanent restoration |
| Alternatives | Tooth extraction and space rehabilitation with dental implant, bridge, or partial denture |
| Prognosis | Good |

| Treatment | Orthograde root canal treatment over two visits |
| Chemomechanical debridement | Instrumentation with k-files to produce a reproducible glide path, rotary NiTi to finish the preparation & irrigation with NaOCl. MAF X2 and X3 (ProTaper Next) |
| Dressing | Ca(OH)2 for 2 weeks |
| Obturation | With GP & AH Plus sealer. Warm vertical condensation technique. |
| Orifice barrier | GIC |

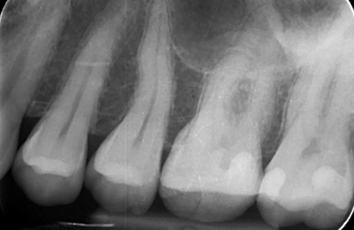
Pre obturation periapical radiograph of the tooth 16, checking cone length
Looking for expert endodontic and periodontal care in Norwest? Book your specialist consultation today.
We offer timely appointments to ensure you receive the care you need when you need it. From endodontics to periodontal therapy, our specialists manage every aspect of your dental health with expertise and comprehensive post-operative support.
Your smile is our priority—experience the difference with our specialist care today.
© 2026 Australian Dental Specialists | Privacy
Site by Luna Digital Marketing