| Patient age | 45 |
| Patient sex | Male |
| Tooth | 16 |
| Chief complaint | My tooth is sore on biting and pressure. From time to time I notice that there is a gum swelling next to the tooth |
| Medical history | Nothing of note |
| Dental history | Patient has had previous root canal treatment over 5 years ago |
| Clinical evaluation | Tooth that is tender to percussion & palpation. Small fluctuant swelling associated with buccal alveolar mucosa |
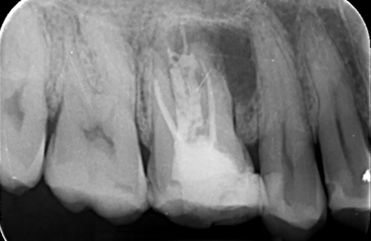
Pre operative periapical radiograph of the tooth 16
| Diagnosis | Previously endodontically treated tooth with persisting chronic apical periodontitis |
| Treatment planned | Orthograde root canal retreatment, and referral back to general dentist colleague for permanent restoration and crown |
| Alternatives | Tooth extraction and space rehabilitation with dental implant, bridge, or partial denture |
| Prognosis | Fair |

| Treatment | Orthograde root canal retreatment over two visits |
| Chemomechanical debridement | Chemomechanical debridement Removal of previous root filling with ultrasonic instrumentation, retreatment files, and eucalyptus oil. Instrumentation with k-files to produce a reproducible glide path, rotary NiTi to finish the preparation & irrigation with NaOCl. MAF X2 and X3 (ProTaper Next) |
| Dressing | Ca(OH)2 for 4 weeks |
| Obturation | With GP & AH Plus sealer. Warm vertical condensation technique. |
| Orifice barrier | GIC |

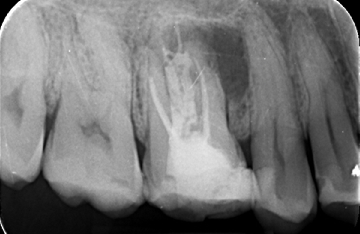
Pre obturation periapical radiograph of the tooth 16, checking cone length
| Review | Healing in progress |
| Patient reports | The tooth has been feeling good since treatment was completed. I can eat on that side again. |
| PA demonstrates | Increased bone infill in comparison to post obturation PA taken 6 months prior |

Post obturation periapical radiograph showing obturation to length; right image: Review periapical radiograph showing increased bone infill around the mesiobuccal root
Looking for expert endodontic and periodontal care in Norwest? Book your specialist consultation today.
We offer timely appointments to ensure you receive the care you need when you need it. From endodontics to periodontal therapy, our specialists manage every aspect of your dental health with expertise and comprehensive post-operative support.
Your smile is our priority—experience the difference with our specialist care today.
© 2026 Australian Dental Specialists | Privacy
Site by Luna Digital Marketing