Case Studies

Orthograde Endodontic Retreatment With Review | endodontic and periodontal care in Norwest

Orthograde Endodontic Retreatment With Review

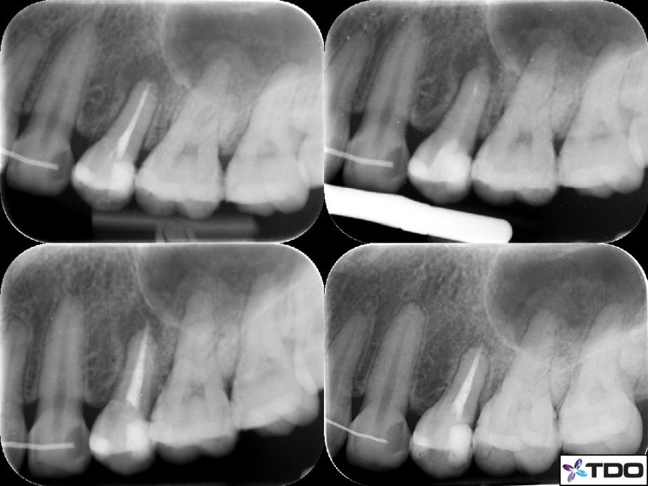
Patient D presented with a dental abscess associated with tooth 25. The tooth had been previously endodontically treated with an Endodontist in the patient’s teens and had developed issues, eight years later. Orthograde endodontic retreatment was performed for the tooth over two visits with calcium hydroxide dressing.
At the first visit, the tooth was accessed and old gutta-percha remnants removed using retreatment files D1, D2, D3. The shaping of the canals was achieved with ProTaper Next instrumentation X2. The canal was purposely over instrumented with a small no. 10 k-file to ensure patency, and calcium hydroxide was placed.

Three weeks after debridement was completed Patient D was asymptomatic, and the dental abscess had resolved. The tooth was obturated with gutta-percha and AH Plus sealer.

A composite resin restoration was placed to close the access.

The endodontic review at 6 months, showed evidence of increased bone deposition in the periapical area. Patient D was relieved as she had no issues with the tooth following treatment.

Looking for expert endodontic care in Norwest? Book your specialist consultation with us today.

We offer timely appointments to ensure you receive the care you need when you need it. From endodontics to periodontal therapy, our specialists manage every aspect of your dental health with expertise and comprehensive post-operative support.

Your smile is our priority—experience the difference with our specialist care today.

Our Location
  • Suite 219, 4 Columbia Court Norwest, Sydney, NSW 2153
  • Monday - Friday: 8:30am-5:00pm,
    Weekends by appointment

© 2026 Australian Dental Specialists | Privacy

Site by Luna Digital Marketing