| Patient age | 23 |
| Patient sex | Male |
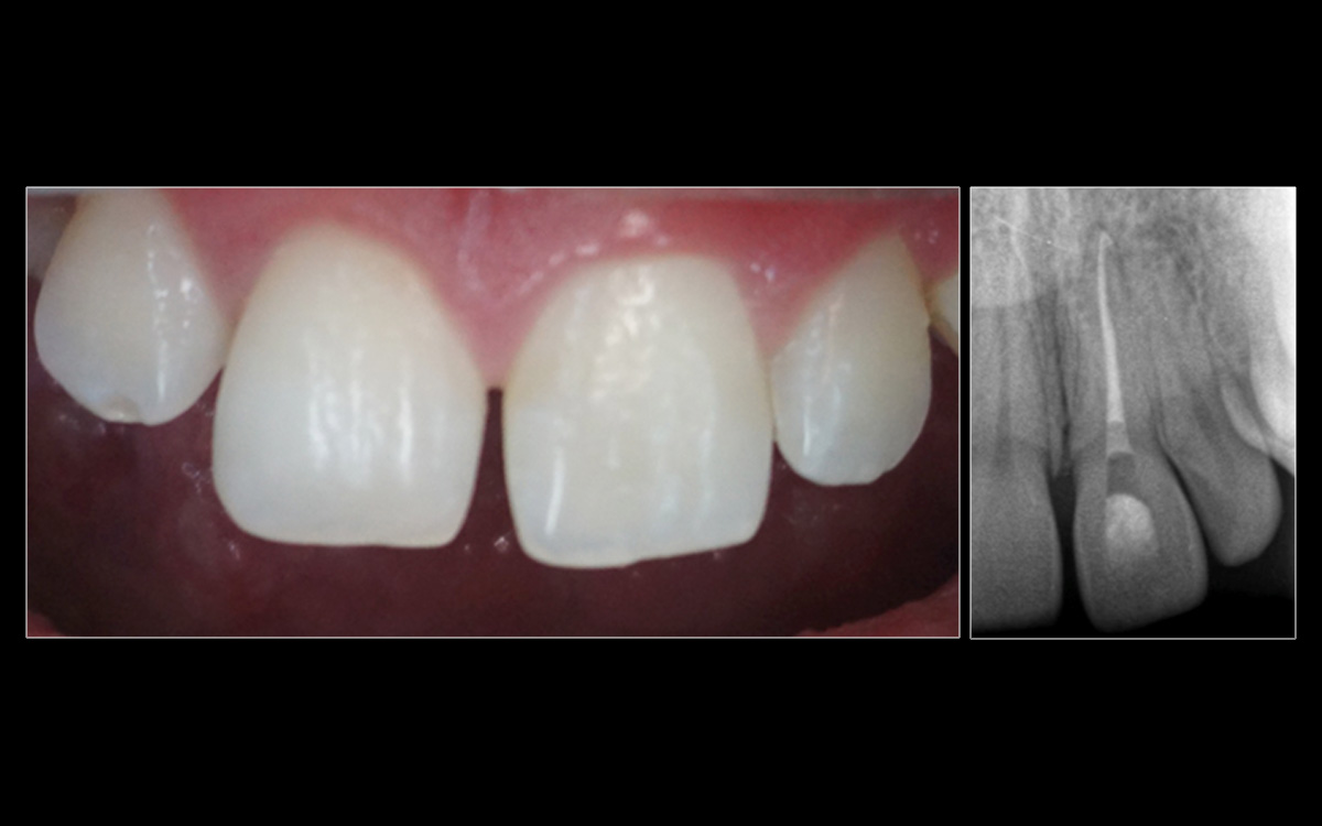
| Tooth | 21 |
| Chief complaint | My tooth is sore and changing colour |
| Medical history | Nothing of note |
| Dental history | Patient sustained a knock to the tooth during a brawl over 4 months prior |
| Clinical evaluation | Virgin tooth that is tender to percussion & palpation. No response to sensibility testing |

| Diagnosis | Necrotic pulp and acute apical periodontitis |
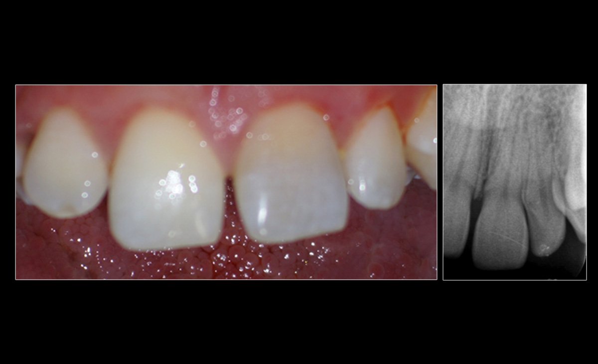
| Treatment planned | Orthograde root canal treatment and intracoronal bleaching |
| Alternatives | Orthograde root canal treatment and veneer to mask discolouration |
| Prognosis | Good |

| Treatment | Orthograde root canal treatment over two visits |
| Chemomechanical debridement | Instrumentation with k-file to produce a reproducible glide path, rotary NiTi to finish the preparation & irrigation with NaOCl. MAF X2 (ProTaper Next) |
| Dressing | Ca(OH)2 for 1 week |
| Obturation | With GP & AH Plus sealer. Warm vertical condensation technique. |
| Orifice barrier | GIC |
| Bleach | Sodium perborate for 2 weeks |

Looking for expert periodontal care in Norwest? Book your specialist consultation today.
We offer timely appointments to ensure you receive the care you need when you need it. From endodontics to periodontal therapy, our specialists manage every aspect of your dental health with expertise and comprehensive post-operative support.
Your smile is our priority—experience the difference with our specialist care today.
© 2026 Australian Dental Specialists | Privacy
Site by Luna Digital Marketing