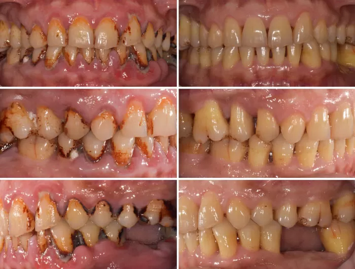
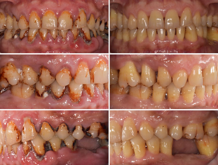
The modern approach to the management of periodontitis focuses on the resolution of inflammation via biofilm-related strategies. The current thinking is that it is no longer necessary for teeth to be ‘root-planed’ which not only also lead to increased root structure removal but increased post-operative discomfort. Instead, the primary aim is the removal of biofilm and secondarily, calculus.
The patient above was diagnosed with generalised moderate to advanced chronic periodontitis. The treatment plan involved 3 sessions of subgingival debridement under local anaesthetic. Biofilm removal was carried out using EMS Airflow and Perioflow. Supra and sub gingival calculus was removed using EMS Piezo ultrasonic instrumentation including the slim-designed PS and P tips. Finally residual deposits were removed with Hu-Friedy curettes.
The patient was successfully treated and is now on a strict program of periodontal on a 3-4 monthly basis.

Looking for expert periodontal care in Norwest? Book your specialist consultation today.
We offer timely appointments to ensure you receive the care you need when you need it. From endodontics to periodontal therapy, our specialists manage every aspect of your dental health with expertise and comprehensive post-operative support.
Your smile is our priority—experience the difference with our specialist care today.
© 2026 Australian Dental Specialists | Privacy
Site by Luna Digital Marketing