Root Canal Therapy

When it comes to dental services, a root canal procedure is often one of the most dreaded procedures amongst patients - however, with an experienced specialist, root canals are no worse than any other procedure.

While it might not be known as the most comfortable process, root canal treatments involve common conservative procedures, with a documented success rate of over 90%. A root canal, also known as an endodontic treatment, will allow a tooth to function normally while retaining natural aesthetics, ultimately saving the tooth from extraction.

Regarding root canal treatment, patients often have a range of questions such as;

  • What is root canal treatment?
  • Do I need root canal therapy?
  • What happens during a root canal procedure?
  • How long does a root canal take?
  • Is a root canal painful?

With this in mind, here is everything you need to know about root canal therapy and how we approach it here at Australian Dental Specialists.

What is Root Canal Treatment?

Root canal treatment, also known as root canal therapy (RCT) or endodontic treatment, is a dental procedure that involves drilling into a decayed tooth, with the aim of removing the soft centre, 'dental pulp'.

This pulp consists of connective tissue, nerves and blood supply, and continues into the root of the tooth - removal of this soft centre is crucial in preventing further decay.

Depending on the tooth, a crown replacement might also be involved - this is where the surface of a tooth, used for chewing, is also replaced.

Do I Need Root Canal Therapy?

Generally, root canal treatment is warranted when the pulp of a tooth (and the blood vessels and nerves within) is damaged or infected by events such as dental trauma, deep decay, cracks and chips, or repeated dental procedures. If you are wondering whether or not you might need a root canal, there are a few things to consider. These will include the current condition of your teeth, and whether any are badly decayed.

Determining the current condition of your teeth is an important step to take in managing oral health in the first place.

  • Consider your dental history - this means thinking about how often you perform dental care like brushing your teeth, and even knowing whether you have had previous instances of infection or have a history of dental work.
  • Next, if you are experiencing any severe pain, this can be another indicator of damaged, dead or infected teeth. If your tooth hurts with pressure, it is important to get the opinion of a professional, as more problematic issues may be a cause.
  • Ultimately, the best way to understand the current condition of your teeth is to visit your specialist for a checkup.

More specifically, signs of a pulp infection occurring include discomfort and pain in and around the tooth and gums, sensitivity to hot or cold temperature, and swelling of the gums or face. If you are experiencing these symptoms, your dentist will likely recommend root canal treatment in order to remove the diseased pulp and clean and seal the root canal system.

The Benefits of Root Canal Treatment

When it comes to the benefits of root canal treatment, there are many.

Firstly, it allows you to keep your natural tooth - this in itself has a number of benefits, including that it will always feel and perform better than a denture or implant. It works better in regard to chewing, and will limit the likelihood of future dental costs and procedures.

Secondly, root canals are fairly pain free with little discomfort - when compared to other dental procedures such as a natural tooth extraction, a root canal procedure is often entirely painless. This is thanks to modern dentistry technology, local anaesthetic which will numb the area, and the expertise of endodontists at a good specialist practice.

Additionally, a root canal procedure is quick and cost effective - as explained below within the section on what happens during a root canal procedure, the root canal process is usually more efficient than a tooth extraction. Not to mention, if you have a dental plan included within your medical coverage, the treatment might be covered.

The Dangers of an Untreated Dental Infection

Understanding the risks of leaving an infected or damaged tooth untreated is just as important as knowing the benefits of root canal treatment. Dental infections don’t heal on their own — and delaying care can lead to serious complications affecting your health, comfort, and quality of life.

Risks of Leaving a Dental Infection Untreated

If a tooth abscess or infection is ignored, it can lead to a cascade of complications, including:

  • Severe, persistent pain and sensitivity
  • Swelling of the gums, face, or jaw
  • Formation of pus and tissue debris (abscess)
  • Tooth discolouration and nerve damage
  • Bone loss around the tooth root
  • Spread of infection to surrounding tissues or other parts of the body
  • In advanced cases, untreated infections can even affect vital structures of the head and neck, posing serious health risks.

The Importance of Early Treatment

  • Prompt treatment of root canal infection is essential to prevent further complications.
  • Root canal therapy not only relieves pain but also eliminates infection and preserves the natural tooth, maintaining your ability to chew comfortably and smile confidently.

If treatment is delayed too long, the infection may destroy too much tooth structure, making extraction the only option. Once a tooth is lost, further expensive rehabilliation work such as dental implants or bridges may be required.

What Happens During a Root Canal Procedure?

Diagnosis and Numbing

Diagnosis
and Numbing

Endodontist examines and numbs the tooth area
Opening the Tooth

Opening
the Tooth

Small opening is made to reach the infected tissue
Cleaning

Cleaning

Debris and infection is cleaned from the root canals
Root Filling

Root
Filling

The cleaned canals are filled with biocompatible filling to seal the space
Restoration

Restoration

Endodontist closes tooth with restoration and advises if your tooth requires a crown

Within procedures surrounding root canals, Australian Dental Specialists undertake set processes that involve broader tasks such as an x-ray and general consultation, as well as the more specific stages within the performance of root canal treatment on a tooth.

  1. Firstly, your specialist will identify the problem at hand, and will subsequently take x-rays of the relevant tooth and the area around the tooth.
  2. Following this x-ray process, when it comes to the procedure itself, the tooth area will be numbed with a local anaesthetic. In addition to this, your tooth will be covered with a rubber dam or sheet, which isolates the relevant tooth from the rest.
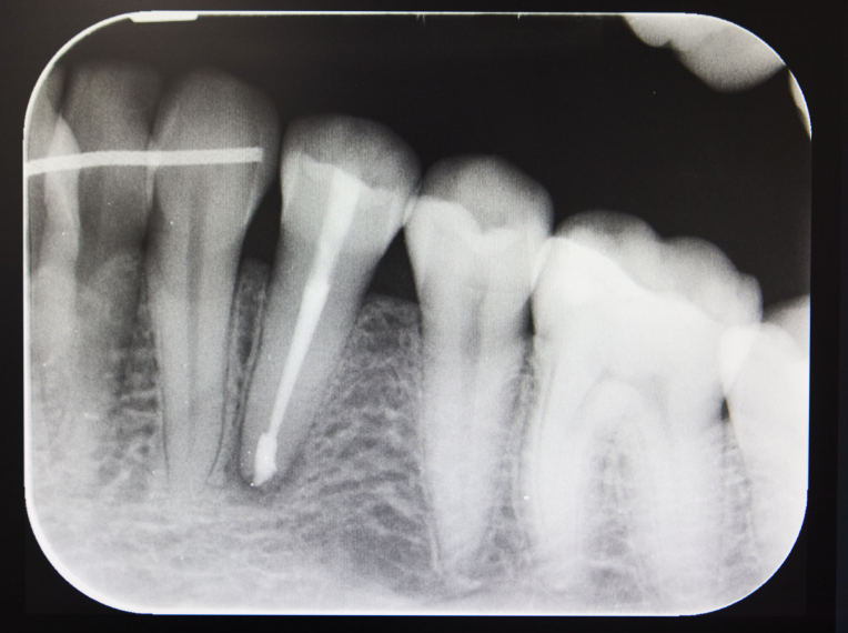
  3. When it comes to the removal process, the dental practitioner will remove the diseased pulp inside and clean and seal the tooth root canal system. The pulp chamber is accessed from the top of the tooth, and once cleaned, the root canals are filled with a natural material called gutta-percha.
  4. Finally, the tooth will be sealed, with a filling. Later, your general dentist may need to further protect it with the crown. Often, a temporary filling will be used to seal the hole, which will be replaced with a permanent one once the root canal has healed.

The treatment can be completed in one or two visits depending on the difficulty of the case and is best undertaken by Dr Varayini Yoganathan, a qualified root canal specialist available to you here in Norwest, Sydney.

Once root canal treatment is completed, the record of your treatment is sent to your restorative dentist. You will attend their office for a follow-up restoration within a few weeks of treatment completion at our office. The restorative dentist will decide on what type of restoration is necessary to protect your tooth.

Call us today to secure your appointment.

Call us today to secure your appointment.

How Can I Avoid Root Canal Treatment? 

When aiming to avoid root canal therapy, there are a number of things you can do.

  • Clean your teeth regularly - this means brushing your teeth two times a day, and flossing daily.
  • Wear a mouth guard when necessary - if you play a sport that might warrant the use of one, or grind your teeth as you sleep, a mouth guard is a great way to protect your teeth.
  • Ensure that you have regular tooth checkups and cleanings - this also means getting any tooth problems checked out by your dentist as soon as possible.
  • Avoid or limit hard foods within your diet - this might include candy and lollies, or even ice, which can cause cracks and fractures in teeth and fillings.
  • Avoid or limit sugary and acidic food and drink - for example, soft drinks can break down your tooth enamel and attract bacteria.

Ultimately, preventing root canal treatment (and the problems that make it necessary) is the best way to save yourself hassle, pain, money, time and medical problems. As a result, getting yourself into these habits and ensuring that you are taking the appropriate precautions is crucial in avoiding root canal treatment naturally.

Root Canal Costs in Australia

In understanding the cost of root canal treatment, the amount you pay will depend on factors such as location, healthcare, and extent of treatment required.

When it comes to the average root canal cost Sydney and Australia wide, endodontic treatment costs will include everything from consultation to materials used (such as gutta-percha, temporary filling and dental dams). As a high quality root canal treatment provider provider, Australian Dental Specialists aim to provide treatment that is of the highest quality, whilst remaining affordable in price. In regard to healthcare, you will be eligible to claim an amount of the cost back if you have major dental extras as part of a private health insurance plan. For a detailed treatment plan with comprehensive price information, get in touch or book a consultation today.

Regenerative Endodontic Procedures

Traditionally, when an immature tooth suffers root damage, we perform an apexification to harden the root end and close the canal. While effective, also means that the tooth’s root will not continue to develop.

With regenerative endodontics, we instead revive or regenerate the tooth’s natural tissue so the root can continue growing.

Regenerative endodontics uses the concept of tissue engineering to restore the canals to a healthy state. The benefits of this method include continued root development and strengthened hard tissues to prevent potential fractures. Though tissue regeneration procedures are still in their infancy, studies suggest that “dead,” immature teeth are capable of regenerating pulp-like tissues that foster root development.

In a little more than 10 years, regenerative endodontics has made a significant impact. This advancement in endodontic treatment has meant that teeth belonging to young patients of 7 to 16 years of age can be restored to allow them to keep growing, resulting in the benefit of a natural tooth for life.

Endodontic Retreatment

There are cases where a tooth that received root canal treatment may fail to heal or pain may continue to exist. The failure can occur months or years after the initial treatment.

Reasons Why Treatment May Fail

  • Curved or narrow canals that were not treated during the initial treatment.
  • Complicated canals that went undetected during the initial treatment.
    The crown or restoration was not placed within the appropriate amount of time following the procedure.
  • The crown or restoration that did not prevent saliva from contaminating the inside of the tooth.
  • New decay can expose filling material, causing infection.
  • A cracked or loose filling or crown can expose the tooth to new infection.

The Retreatment Process

Once retreatment has been selected as a solution, your tooth will be reopened to gain access to the root canal filling material. This restorative material will be removed. Your endodontist will then clean your canals and carefully examine the inside of the problematic tooth. Once cleaned, the canals will be filled and sealed and a temporary filling placed in the tooth.

At this point, you will need to return to your dentist as soon as possible in order to have a new crown or restoration placed on the tooth to restore full functionality.

Provided you have returned to your dentist in good time, you should now have a healthy, pain free tooth that will last you for many years to come and as it is still your natural tooth, you will have no additional maintenance of this tooth, other than keeping it clean.

Dental Injuries and Trauma Management

Traumatic dental injuries often occur in accidents or sports-related injuries. Injuries to the mouth can cause teeth to be break, or be pushed and dislodged from the tooth socket. These types of injuries are called dental trauma, and they are often referred for ongoing care and review with a specialist endodontist.

If traumatised teeth are left untreated, different complications can arise. These complications can include, but are not limited to:

  • Infection of the tooth
  • Infection of root system or surrounding tissue
  • Inadequate hygiene due to an inability to properly clean the dislodged tooth and the gums
  • Loss of the tooth

Any dental injury, even if apparently mild, requires immediate examination by a dentist or an endodontist. Sometimes, neighbouring teeth suffer an additional, unnoticed injury that will only be detected by a thorough dental exam.

Call us today to secure your appointment.

Frequently Asked Questions About Root Canals

Root canals are carried out using local anaesthesia to numb the tooth and gums, and are usually no more painful than getting a filling. Usually, the alternative can involve getting a tooth removed or experiencing an infection, which will likely involve discomfort.

Tooth fillings are recommended when the tooth has a smaller cavity, or the decay has not yet reached the pulp chamber - on the other hand, root canal therapy might be required if the decay has reached the tooth pulp and caused an infection.

Approximately 90% of root canal treatments are successful - following this, the affected tooth can last a lifetime with proper care. Depending on the case, your dentist might recommend a filling or crown to maximise the life of the tooth. With improper care, a failing root canal might mean that bacteria re-enters the tooth, which will require further treatment.

Unconscious sedation is unnecessary for most root canal treatment - instead, dentists will use a local anaesthesia. Patients with more severe dental anxiety, prominent gag reflexes will be guided to consider sedation options such as; happy gas, oral sedation, or IV sedation.

On average, a root canal procedure will take anywhere between 30 - 60 minutes. In more complex situations, procedures can require up to 90 minutes, or might be carried out across two appointments.

Following a root canal, a crown will reinforce the outer part of the tooth and restore tooth functionality. While not all treatments will require reinforcement to the same extent, some form of support is usually required to be placed - whether this is a crown or filling.

While recovery times differ, mild pain after a successful root canal surgery can last for up to three days. A day of rest is recommended, but in most cases patients will be able to return to life as usual the next day provided that they practice good oral hygiene.

Although many cases may present with no symptoms, some indications for treatment can include prolonged temperature sensitivity, spontaneous pain, tooth discolouration, tenderness of the tooth or surrounding gum tissue and swelling.

The purpose of endodontic treatment is to remove bacteria that cause inflammation or infection, and help you retain your own natural tooth. With modern techniques, most of our root canal therapy can be completed in one visit. After completion of treatment, a long-term restoration that seals against recontamination may be recommended with your general dentist.

Thanks to today's anaesthetics, most procedures cause no pain. We will implement all necessary steps in order to manage post-procedural discomfort. This can include the use of anti-inflammatory medications and antibiotics.

In order to ensure that you are receiving the best treatment available, we always recommend follow-up appointments to ensure that the treatment rendered was successful. Typical follow-up times are at 6 months and 1 year but may vary depending on the type of treatment.

Most of the time, the same local anaesthetic is used just as if you were to receive general dental work such as fillings. The anaesthetic generally lasts for 1 to 3 hours but should not affect overall cognitive abilities. Surgeries involve an extended healing time and may require rest for the remainder of the day. Each case is different and post-operative care will be thoroughly explained on the day of treatment.

Root Canal Therapy Procedures

Cracked Teeth
Cracked Teeth

Cracked teeth demonstrate many types of symptoms, including pain when chewing, temperature sensitivities, or even the release of biting pressure.

Trauma Management
Internal Bleaching

Internal bleaching, also referred to as walking bleach, is a technique that is used to whiten the appearance of teeth. Internal bleaching is conducted under the direction of a dentist.

Regenerative Endodontic Procedures
Regenerative Endodontic Procedures

With regenerative endodontics, we revive or regenerate the tooth’s natural tissue so the root can continue growing, be functional and last you for your lifetime.

Apicoectomy Procedures
Apicoectomy Procedures

Root end surgery or apicoectomy is the most common surgery used to save damaged teeth. Occasionally, root canal therapy will not be sufficient to heal the tooth and your endodontist will recommend surgery.

Root Canal Retreatment
Root Canal Retreatment

There are cases where a tooth that received root canal treatment may fail to heal or pain may continue to exist. The failure can occur months or years after the initial treatment.

We offer timely appointments to ensure you receive the care you need when you need it. From endodontics to periodontal therapy, our specialists manage every aspect of your dental health with expertise and comprehensive post-operative support.

Your smile is our priority—experience the difference with our specialist care today.

© 2025 Australian Dental Specialists | Privacy

Site by Luna Digital Marketing